Skip to main content

Thirona

By Tammy Lovell | 03:33 am | January 28, 2022
Also, PocDoc to launch smartphone-based blood test for cardiovascular disease.
By Sara Mageit | 07:22 am | March 31, 2021
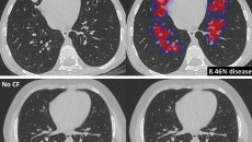
The new algorithm allows for automated analysis of CT scans of patients with the condition.
By Sara Mageit | 08:10 am | October 16, 2020
The AI company will use the license to implement a quantitative method for the analysis of chest CT scans.