Skip to main content

Care

By Sara Mageit | 10:41 am | September 23, 2021
The partnership aims to investigate the role genetics play in developing personalised cancer treatments
By Adam Ang | 06:21 am | September 23, 2021
The partnership will see the deployment of the AI chest x-ray solution at 100 Sonic Imaging radiology clinics.
By Rachel McArthur | 05:51 am | September 23, 2021
According to a new report by the UAE’s Informa Markets and Omnia Health Insights, healthtech and value-based healthcare are more important than ever. But challenges remain.
By Adam Ang | 04:43 am | September 23, 2021
The health kiosk automatically dispenses medication to users after a doctor signs off on a prescription in a teleconsultation.
By Emily Olsen | 02:35 pm | September 22, 2021
The new clearance expands its insulin dosing support to bolus and premixed insulin titration for Type 2 diabetes.
By Mallory Hackett | 12:51 pm | September 22, 2021
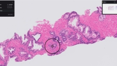
Paige Prostate analyzes digitized biopsy slides and identifies areas that could be cancerous for the pathologist to review further.
By Emily Olsen | 12:37 pm | September 22, 2021
Also: NOCD scooped up $33 million for digital OCD treatment, and NEX raised $25 million for its interactive fitness and motion entertainment tech.
By Laura Lovett | 05:47 pm | September 21, 2021
This M&A comes just a month after Unite Us acquired Carrot Health. 
By Emily Olsen | 02:42 pm | September 21, 2021
Some ReviveHealth members will be able to access second opinions online from Cleveland Clinic physicians.
By Emily Olsen | 12:30 pm | September 21, 2021
Papa’s assistants, called Papa Pals, can help people set up the Milliman HealthIO app and any necessary devices.