
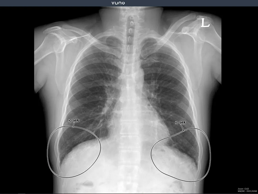
South Korean medical imaging firm VUNO has published a study showing that its Med-Chest X-Ray helps improves detection and localisation of major abnormal findings on chest radiographs, while reducing reading time. The study was published in the academic journal Radiology.
WHAT IT’S ABOUT
The study was conducted on three groups of people, each comprising assessors with varying experience levels – residents, board-certified radiologists, and thoracic radiologists. It compared the readings of chest radiographs from those who used the Med-Chest X-Ray against the readings of those who did not use the software.
It was shown that diagnostic accuracy across all performance, including per-lesion and per-image sensitivity, improved significantly. Reading time was also cut by an average of 50%.
According to a VUNO statement, the results of the study "reaffirmed that the solution is a useful diagnostic support tool for all clinicians regardless of their years of experience, not just for cases with a single lesion but also for those with multiple lesions and abnormal findings".
WHY IT MATTERS
VUNO notes that past studies assessing the effects of similar solutions "may have biased the results" due to reading order or recall bias. To reduce such bias, the company’s study used a randomised crossover design with a washout period.
THE LARGER TREND
The medical AI company recently went public in the KOSDAQ, South Korea’s main bourse, raising 37.8 billion won ($33.6 million). The proceeds of the IPO were intended for investments in research and development, additional manpower, and continued expansion.
Last year, the company received CE Mark approvals for its chest x-ray solution, along with four other products under the VUNO Med series. It also got a license agreement with M3, one of Sony's subsidiaries, to market its solutions in Japan.
ON THE RECORD
"The study results point to the added value of our AI-powered chest X-ray solution illustrating an ability to streamline clinical workflows," said Dr. Jinkyeong Sung, VUNO chief medical officer and the study’s lead author.